50岁体力劳动者 “顽固性坐骨神经痛” 的精准甄别与微创终结
2025-10-21 19:27:35 来源:
病例摘要
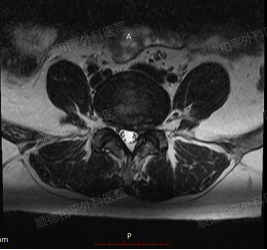
患者为50岁中年女性,长期从事重体力劳动,因“左下肢疼痛麻木2月,加重1周”入院。查体见腰椎活动受限,左下肢沿坐骨神经走行区域(大腿后侧、小腿后侧及足底)压痛及感觉麻木。腰椎MRI显示L4/5左旁中央型及L5/S1中央型椎间盘突出,伴椎管及侧隐窝狭窄(左侧为著)。诊断为:腰椎间盘突出伴坐骨神经痛。经保守治疗无效后,由我院骨科二区(脊柱外科)张哉炯主任团队行经皮后路椎间孔镜下L4/5椎间盘髓核射频摘除术。术后患者症状显著缓解,恢复良好。

病症判定:层层递进,精准定位
病史与诱因:患者多为中老年人,常从事重体力劳动、长期久坐或有腰部外伤史,像李女士(化名)这样的50岁体力劳动者,腰椎长期承受较大压力,属于高发人群。
典型症状:以腰腿疼痛、麻木为主要表现,疼痛可沿臀部、大腿后侧、小腿外侧或足底放射,常伴有行走困难。李女士左下肢大腿后侧、小腿后侧、足底疼痛麻木明显,且休息后不缓解,符合典型症状。
查体结果:腰椎生理弯曲可能改变,腰部肌肉紧张,有压痛,腰部活动受限,受累下肢可能出现感觉麻木、压痛等。李女士的查体情况与这些表现相符。
辅助检查:腰椎磁共振是重要的检查手段,可清晰显示椎间盘变性、膨出或突出,以及是否压迫硬脊膜囊、椎管、侧隐窝及椎间孔等。李女士的腰椎磁共振显示L4/5、L5/S1椎间盘存在变性、膨出并突出,且有相应的压迫情况,为诊断提供了有力依据。
术前&术后
针对性治疗:微创技术,解除痛苦
结合李女士的病情,张哉炯主任团队经过详细评估,为其制定了精准的治疗方案——微创经皮后路椎间孔镜下L4/5椎间盘髓核射频摘除术。
该术式是一种先进的微创手术,具有创伤小、恢复快等优势。手术通过椎间孔镜,在高清视野下精准定位突出的髓核组织,利用射频技术将其摘除,从而解除对神经的压迫,缓解疼痛麻木等症状。

李女士的手术历时2小时,过程顺利。术后当天,她的左下肢放射性麻木疼痛便明显缓解,腰部伤口仅有轻度疼痛,夜间睡眠正常。术后第1天,左下肢轻度胀痛较前显著减轻,已能自如卧床翻身活动,且无下肢麻木及乏力等不适。
个体化治疗与康复管理
针对患者体力劳动背景及椎间盘退变特点,团队制定阶段性康复计划:术后短期:卧床休息结合消肿、营养神经药物治疗;中期:循序渐进的腰背肌功能锻炼(如五点支撑法)、康复理疗;长期:避免负重及剧烈运动,定期复查(建议3个月后返院评估)。

得益于精准的术前评估(症状-影像-体征三联验证)与微创技术的合理应用。经皮椎间孔镜技术作为脊柱外科的核心微创术式,尤其适用于单节段椎间盘突出伴神经根性症状的患者。
  • 为你推荐
  • 公益播报
  • 公益汇
  • 进社区

热点推荐

即时新闻

武汉